Healthy Smile, Happy Life: Professional Teeth Cleaning Services
A healthy smile is not just about aesthetics; it’s essential for your overall well-being. At Shifa Dental, located in Plano and Garland, Texas, we offer professional teeth cleaning services designed to keep your oral health in top shape.
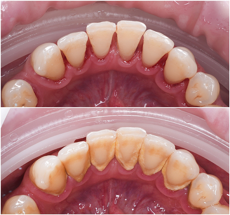
Our experienced dental team uses advanced techniques to remove plaque and tartar buildup, preventing cavities and gum disease. Regular teeth cleanings ensure that your smile stays bright and healthy, contributing to your overall happiness and confidence.
About Teeth Cleaning
Maintaining a clean and healthy smile is foundational to overall oral health, and regular teeth cleaning serves as a cornerstone of this endeavor. At Shifa Dental, our general dental services include thorough and effective teeth cleaning procedures, executed by our team of dental professionals.
Our advanced facilities and modern dental technology make the teeth cleaning process both comfortable and efficient, setting the stage for ongoing dental well-being. Our goal is to assist you in achieving and maintaining oral health, thereby contributing to your overall well-being and confidence.
Benefits of Teeth Cleaning
Regular teeth cleaning is more than just a cosmetic procedure. It plays a vital role in preventing gum disease, cavities, and other oral health issues. By removing plaque and tartar buildup, our dental professionals can help you achieve and maintain optimal oral hygiene. Teeth cleaning also helps prevent bad breath and gives you a brighter, whiter smile, enhancing your overall self-confidence.
Additionally, professional teeth cleaning can detect early signs of dental problems, allowing for timely intervention and treatment. This proactive approach can save you from future discomfort and costly dental procedures.
Ideal Candidates for Teeth Cleaning
Everyone, regardless of age or oral health condition, can benefit from regular teeth cleaning. Whether you have a perfect smile or suffer from common dental issues, such as tooth decay or gum disease, our dental professionals at Shifa Dental can cater to your specific needs. We ensure a comfortable and personalized experience for all our patients.
What to Expect During a Teeth Cleaning Appointment
During your teeth cleaning appointment at Shifa Dental, our skilled dental hygienist will first examine your oral health and discuss any concerns you may have. The cleaning process involves removing plaque and tartar from your teeth using specialized tools. Then, your teeth will be polished to remove surface stains, leaving you with a smooth and clean feeling. Finally, our dental professional will provide you with valuable tips and guidance to maintain optimal oral hygiene between visits.
The Teeth Cleaning Process
The teeth cleaning process at Shifa Dental follows a comprehensive and meticulous approach to ensure the best possible results. Our dental professionals utilize advanced techniques and gentle cleaning methods to remove plaque, tartar, and stains effectively. We strive to make your appointment as comfortable and stress-free as possible, and you can trust us to deliver outstanding dental care.
Post-Teeth Cleaning Information
After your teeth cleaning appointment at Shifa Dental, it is important to maintain proper oral hygiene to prolong the benefits of the treatment. Follow the recommended brushing and flossing routine, and visit our dental clinic regularly for check-ups and preventive care. Our team will provide you with post-treatment instructions to ensure a lasting and healthy smile.
Teeth Cleaning Near Me - Shifa Dental
Looking for top-notch teeth cleaning services near you? Visit Shifa Dental in Plano or Garland, Texas. Our expert team ensures thorough, professional cleanings to maintain your oral health and keep your smile bright.
Experience personalized care and the latest dental techniques in a comfortable environment. Schedule your teeth cleaning appointment at Shifa Dental today!
*Offer valid for first time visitors
4.8
400+ Total Reviews
4.8
180+ Total Reviews
FAQs
It is recommended to get your teeth professionally cleaned every six months to maintain optimal oral health.
No, teeth cleaning is generally painless. Some individuals may experience sensitivity, but our dental professionals take the utmost care to ensure your comfort throughout the process.
Yes, teeth cleaning can remove surface stains and leave your teeth looking brighter and whiter.
Yes, we accept most dental insurance plans. Contact our friendly team to discuss your insurance coverage.
Testimonials

Annagrace Mendoza

Appointment scheduling: very easy, every time get a call back if front desk is not able to answer. Very quick to respond and accommodate your schedule. Very polite.Facility : very descent facility Support staff : probably the best support staff I have seen at any dentist Doctor : Very professional. Explained me the Complete treatment.
Sunil tejpal

As always, I had the best doctor and superb services at Shifa Dental. I never felt the need to go to any other dentist after coming to this place a couple of years ago. Their attention to details is masterful and coupled with the care for their patients they show is truly wonderful. A big thank to all the people at Shifa Dental.

Chandu Chatterjee

It was my first time here and it was a great experience. I have sensitive teeth so they would check in to make sure the cleaning was feeling okay. The staff was very personable and I did not have to wait long. I would highly recommend!
Alexandra Smith

The place is very clean. Necessary precautions were taken by the staff amidst the pandemic and it shows in the quality of the dental service. Deepa K explained to me in detail and ways as to improve where needed regarding my teeth. Mariam and other staff members are courteous. Overall very impressed. This is my second visit.
Ram Venkatram

The doctor and staff was amazing!!!! I loved how the service was I went in and came out extremely fast. Now this is my permanent doctor!
Umar Abdulwadood
