Dental Fillings
Restoring Strength and Protecting Your Teeth
Dental fillings are one of the most common and effective treatments used to repair teeth affected by cavities, minor fractures, or wear.
At Shifa Dental, we use modern tooth-colored materials and precise diagnostic techniques to restore damaged teeth while preserving as much natural tooth structure as possible.
This page explains how dental fillings work, the materials used, and how they help protect your teeth from further decay.

What Are Dental Fillings?
A dental filling is a restorative material used to repair a tooth that has been damaged by decay or minor fractures. During the procedure, the dentist removes the decayed portion of the tooth and fills the space with a durable material.
The filling restores the tooth’s normal shape, strength, and function while preventing bacteria from re-entering the area.
Modern dental fillings are designed to blend naturally with your teeth, allowing you to smile and chew comfortably without noticeable restoration.
Unlike untreated cavities, fillings stop the progression of decay and help maintain long-term tooth health.
Advanced Technology for Precise Diagnosis

Why Patients Trust Shifa Dental for Dental Fillings

Advanced Dentistry with a Human Touch
Successful restorative treatment depends on accurate diagnosis, high-quality materials, and precise placement. At Shifa Dental, every restoration is carefully planned to protect the natural tooth and maintain long-term oral health.
Patients choose us because we prioritize:
- Tooth-colored aesthetic restorations
- Conservative treatment approaches
- High-quality restorative materials
- Strict sterilization and infection-control protocols
- Personalized treatment recommendations
- Transparent discussions about treatment options
Our goal is not simply to place a filling — but to restore the health, strength, and longevity of your natural teeth.
Shifa Dental
Types of Dental Fillings We Offer
The Oral Exam Process: Step-by-Step
Comprehensive Examination
Your dentist performs a detailed oral examination and digital X-rays to detect cavities or tooth damage.
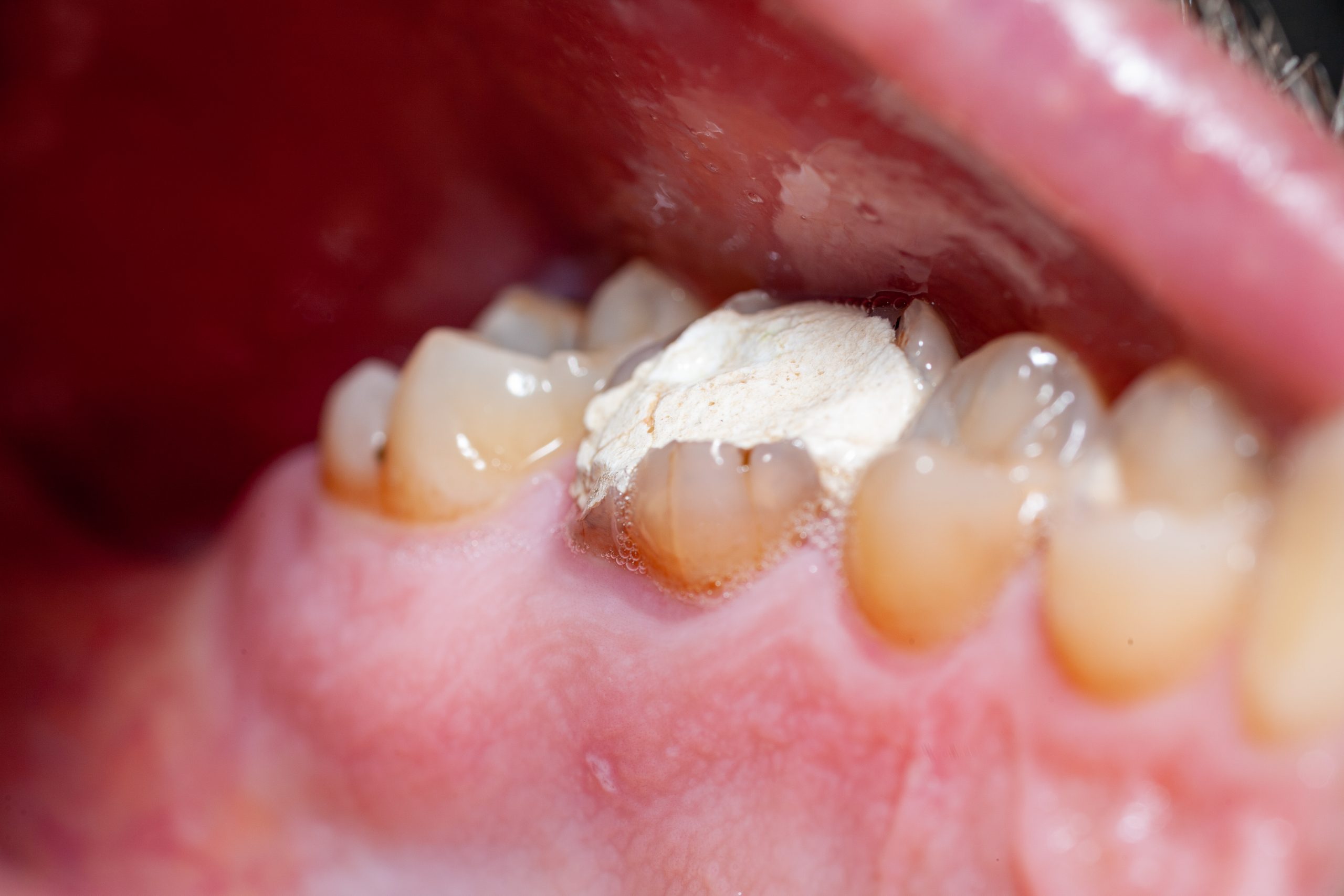
Decay Removal
The decayed or damaged portion of the tooth is carefully removed to prevent further infection.
Tooth Preparation
The cleaned area is prepared to ensure proper bonding of the filling material.
Filling Placement
The restorative material is placed and shaped to restore the tooth’s natural contour.
Polishing & Bite Adjustment
The filling is polished and adjusted to ensure a comfortable bite and natural feel.
Same-Day Dental Fillings
Benefits of Dental Fillings
Dental fillings provide several important health and functional benefits:
Who May Need Dental Fillings?
You may require a dental filling if you experience:
- Tooth sensitivity to hot or cold
- Visible holes or dark spots on teeth
- Food frequently getting stuck in a specific tooth
- Tooth pain while chewing
- Minor tooth fractures or worn surfaces
Regular dental checkups help detect cavities early before they become larger problems.
Aftercare for Long-Term Success
To maintain the health and longevity of dental fillings:
- Brush twice daily using fluoride toothpaste
- Floss daily to remove plaque between teeth
- Limit sugary foods and beverages
- Visit your dentist every six months
- Avoid biting hard objects such as ice or pens
Proper oral hygiene helps fillings last many years while protecting surrounding teeth from new decay.

Safety & Longevity
Modern dental fillings are highly reliable and safe when placed using proper techniques.
Composite fillings can last 7–10 years or longer, depending on oral hygiene habits, bite forces, and regular dental care.
Possible issues, though uncommon, may include:
- Filling wear over time
- Minor sensitivity after treatment
- Filling loosening due to heavy biting forces
Regular dental visits allow dentists to monitor restorations and ensure they remain in excellent condition.
When a Filling May Not Be Enough
If tooth decay becomes extensive, a filling may not provide sufficient structural support.
In such cases, alternative treatments may be recommended, such as:
- Dental crowns
- Root canal therapy
- Inlays or onlays
Early treatment significantly increases the likelihood that a simple filling will be sufficient.

Dental Filling Cost & Long-Term Value
Dental fillings are one of the most affordable and effective restorative treatments available.
Treatment cost may vary depending on:
- Size of the cavity
- Type of filling material used
- Location of the tooth
- Extent of tooth damage
A consultation and examination are necessary to determine the most appropriate treatment and provide accurate cost estimates.

Frequently Asked Questions
Schedule Your Dental Filling Appointment
If you suspect a cavity or have tooth sensitivity, early treatment with a dental filling can prevent further damage and protect your oral health.
Dental Filling Treatment at Our Locations
Dental filling services are available at both of our offices.

